Composite (Aesthetic) bonding

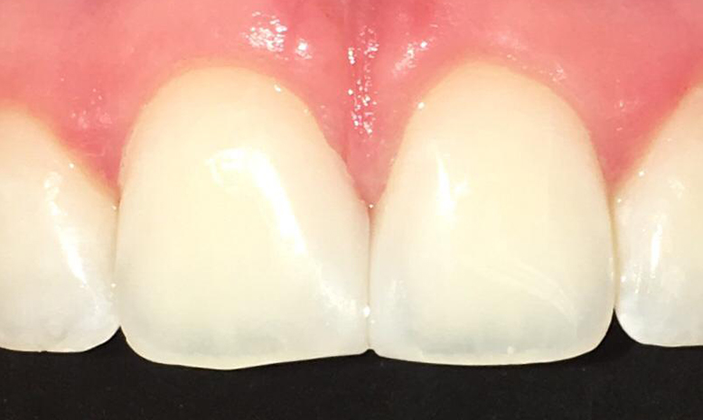
Composite Bonding involves the application of a tooth coloured resin to fix the shape or colour of your tooth.

Composite bonding can easily repair chips, fractures, decay and discoloured teeth. Unlike porcelain veneers, which are manufactured in a laboratory and require your dentist to remove a large amount of healthy tooth structure, composites can be applied in a single office visit with minimal tooth removal.

What are the Main Benefits of Composite Bonding?

The main benefits of coposite bonding are:

  • Composite bonding is minimally invasive (minimal amount of healthy tooth reduction is required)
  • Immediate results - Composite bonding can often be accomplished in one surgery visit.
  • Easily repairable
  • Very natural in appearance
  • Quick and painless
dental bonding at loy dental northern ireland dental bonding showing gap removal in cookstown